ÄúÏÖÔÚËùÔÚλÖãºÊ×Ò³ > ÐÂÎÅ×¨Çø
ÐÂÎÅ×¨Çø

ÏæÑÅÒ½ÔºÂÞÏæº¼½ÌÊÚÍŶÓÔÚ¡¶Cell Metabolism¡··¢±íÃâÒßµ÷¿Ø¹ÇË¥ÀϵÄÔ­´´ÐԳɹû

À´Ô´£º ÈÕÆÚ£º2021-09-15


9ÔÂ10ÈÕ£¬ÖÐÄÏ´óÑ§ÏæÑÅÒ½ÔºÄÚ·ÖÃÚ¿ÆÖ÷ÈΡ¢ÄÚ·ÖÃÚÑо¿ÖÐÐÄÖ÷ÈÎÂÞÏæº¼½ÌÊÚÍŶÓÔÚ´úлÑо¿ÁìÓò¶¥¼¶ÆÚ¿¯¡¶Cell Metabolism¡·(IF= 27.287)ÔÚÏß·¢±íÁËÌâΪ¡°Senescent immune cells release grancalcin to promote skeletal aging¡±ÃâÒßµ÷¿Ø¹ÇË¥ÀϵÄÔ­´´ÐÔÑо¿³É¹û¡£ÖÐÄÏ´óÑ§ÏæÑÅÒ½ÔºÄÚ·ÖÃÚ¿ÆÀ¿¡½ÌÊÚΪµÚÒ»×÷Õߣ¬ÂÞÏæº¼½ÌÊÚΪͨѶ×÷Õß¡£ÎÄÕÂÀûÓÃиñÔª¶À¼Òµ¥Ï¸°ûÊý¾Ý¿âSynEcoSys®½øÐе¥Ï¸°û¹«¹²Êý¾ÝµÄÍÚ¾ò·ÖÎö£¬Í¨¹ýscRNA-seqÊý¾ÝÍÚ¾ò½øÒ»²½½âÎöÁËÃâÒßµ÷½Ú¹ÇË¥ÀϵÄϸ°ûÑÇȺ¼°·Ö×Ó»úÖÆ¡£

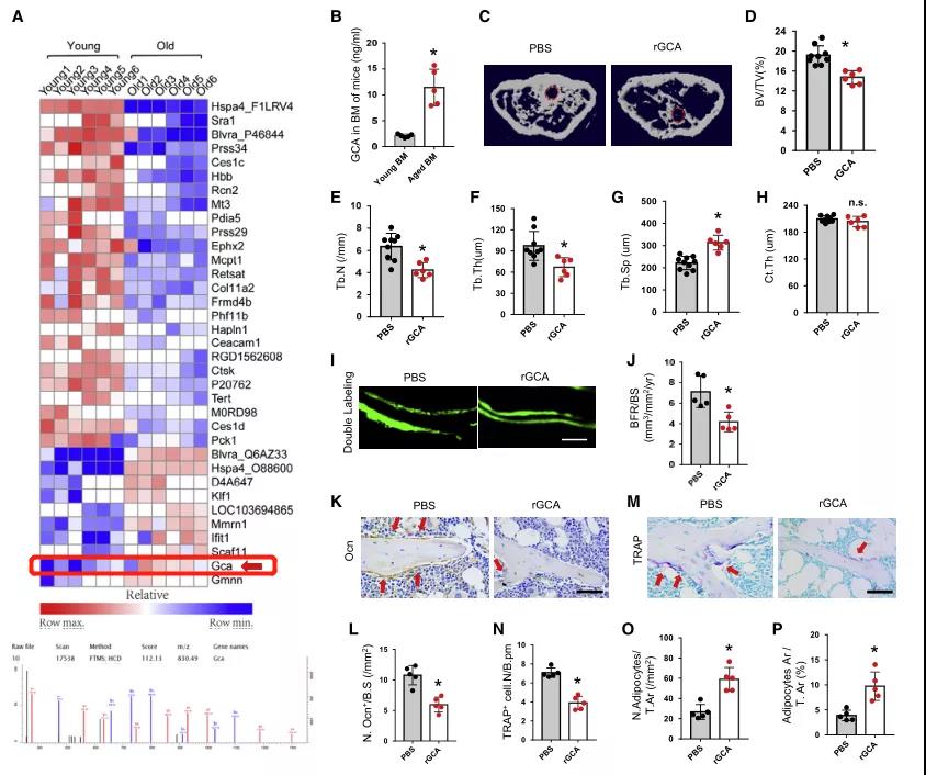
¹Ç÷ÀÍËÐÐÐÔ¼²²¡(Èç¹ÇÖÊÊèËÉÖ¢)Ö÷Òª±íÏÖΪ¹ÇÁ¿¼õÉÙ°éËæ¹ÇËèǻ֬·¾¶Ñ»ý£¬Ä¿Ç°ÕâÖÖʧºâµÄ¾ßÌå»úÖÆÉв»Çå³þ¡£Ñо¿ÍŶӷ¢ÏÖÃâÒßË¥ÀÏÓë¹Ç÷ÀÍËÐÐÐÔ²¡±äÃÜÇÐÏà¹Ø£¬Ë¥ÀϹÇËè΢»·¾³ÖдæÔÚһȺÓÉ¿ÅÁ£¸Æµ°°×(Grancalcin, GCA)ÑôÐԵľÞÊÉϸ°ûºÍÖÐÐÔÁ£Ï¸°ûµÈ¹¹³ÉµÄ´ÙÑ×-´ÙË¥ÀϵÄÃâÒßϸ°ûÑÇȺ£¬·ÖÃÚGCA´Ù½ø¹ÇË¥ÀÏ£¬¾ÞÊÉϸ°ûºÍÖÐÐÔÁ£Ï¸°ûGCA»ùÒòÇóýÑÓ»ºÐ¡Êó¹ÇË¥ÀÏ¡£²¢É¸Ñ¡³öGCAµÄ¹¦ÄÜÐÔÊÜÌåPlxnb2£¬GCAͨ¹ý½áºÏPlxnb2ÒÖÖÆ¹ÇËè¼ä³äÖÊ»ùÖÊϸ°ûµÄ³É¹Ç¡¢´Ù½ø³ÉÖ¬£»½øÒ»²½É¸Ñ¡³öÕë¶ÔGCAµÄÖкͿ¹Ìå(GCA-NAb)£¬½á¹û±íÃ÷GCA-NAbÄÜÏÔÖø¸ÄÉÆÐ¡Êó¹ÇË¥ÀϱíÐÍ¡£


// ¹ÇËèÖеÄGCAÓÕµ¼¹ÇË¥ÀÏ

ΪÁËÈ·¶¨¹ÇËèÖÐÓ°Ïì¹ÇÁäµÄ¹Ø¼üË¥ÀÏÏà¹Ø·ÖÃÚ±íÐÍ(SASP)Òò×Ó£¬ÀûÓÃÖÊÆ×·ÖÎöÄêÇá(3ÔÂÁä)ºÍÀÏÄê(24ÔÂÁä)´óÊó¹ÇËèÉÏÇåÒº£¬Ñ°ÕÒµ½ÓÉÖÐÐÔÁ£Ï¸°ûºÍµ¥ºË¾ÞÊÉϸ°û·ÖÃÚµÄGCA£¬ÆäÔÚÀÏÄê´óÊó¹ÇËèÖеıí´ïÃ÷ÏÔ¸ßÓÚÄêÇá´óÊ󣬸ÃÏÖÏóÔÚСÊóÉíÉÏͬÑù¾ßÓУ»½ÓÏÂÀ´ÔÚСÊó¹ÇËèÄÚ×¢ÉäÈËRGCA»òPBSÀ´²âÊÔGCA¶Ô¹ÇÀÏ»¯µÄÓ°Ï죬һϵÁеļì²â½á¹û(RGCA×éСÊóÖйÇСÁºÌå»ý¡¢ÊýÁ¿ºÍºñ¶È½ÏµÍ£»ÇҳɹÇϸ°û¹ÇÐγɡ¢ÆÆ¹Çϸ°û¹ÇÎüÊÕ½µµÍºÍ¹ÇËèÖ¬·¾¶Ñ»ýÔö¼ÓµÈ)±íÃ÷¹ÇËèÖÐGCA¸ß±í´ï¿ÉÄÜͨ¹ý½µµÍ¹Çת»»ºÍ´Ù½ø¹ÇËèÖ¬·¾»ýÀÛÀ´ÆÆ»µ¹Ç¶¯Ì¬Æ½ºâ¡£

ͼ1.¹ÇËèÖеÄGCAÒýÆð¹Ç¹¦ÄÜÎÈ̬ʧºâ


/Ë¥ÀϹý³ÌµÄ¹ÇËè»ýÀÛ´ÙÑ׺ÍË¥ÀϵÄÃâÒßϸ°û²¢·ÖÃÚ´óÁ¿µÄGCA

 Ç°ÆÚÑо¿·¢ÏÖË¥ÀϹÇËèÖеÄGCAˮƽ½Ï¸ß£¬µ«²»Çå³þ¾ßÌåÓÐÄÄЩϸ°û¶¼±í´ïGCA¡£Ê¹ÓÃscRNA-seqÊý¾Ý¼¯(À´Ô´(Ma et al., 2020)¹ØÓÚÄêÇáºÍÀÏÄêµÄ´óÊó¶à¸ö×éÖ¯ÖÐÓëË¥ÀÏÏà¹ØÑо¿µÄÎÄÕÂ)½øÐÐÉúÐÅÍÚ¾ò·ÖÎö£¬·¢ÏÖÄêÇá´óÊóÖÐGCAÖ÷ÒªÔÚÃâÒßϸ°û±í´ï£¬°üÀ¨ÖÐÐÔÁ£¡¢¾ÞÊÉ¡¢Á£Ï¸°û-¾ÞÊÉϸ°ûǰÌå(GMP)ºÍBϸ°û£¬ÓëÒÔǰµÄÑо¿Ò»Ö¡£ÀÏÄê´óÊóÖÐÐÔÁ£ºÍ¾ÞÊÉϸ°û(Ö÷ÒªÊÇM1Ñù¾ÞÊÉϸ°û)µÄGCA±í´ïÊÇÄêÇá´óÊóµÄ10-15±¶£¬¶øM2Ñù¾ÞÊÉ¡¢T¡¢BºÍBMSCsµÄGCA±í´ïûÓÐÏÔÖø²îÒì¡£´ËÍ⣬ÀÏÄê´óÊó¹ÇËèÖÐGCA+ÃâÒßϸ°û(°üÀ¨ÖÐÐÔÁ£¡¢µ¥ºË¾ÞÊɺÍM1Ñù¾ÞÊÉϸ°û)µÄÊýÁ¿ºÍ±ÈÀý¾ù¸ßÓÚÄêÇá´óÊó¡£¶ÔGCA+ÃâÒßϸ°ûȺ½øÐй¦Äܸ»¼¯·ÖÎö£¬GO·ÖÎöÏÔʾGCA+(°üÀ¨¾ÞÊɺÍÖÐÐÔÁ£Ï¸°û)ÖÐÉϵ÷µÄ»ùÒò¸»¼¯ÔÚÖ¬¶àÌǵķ´Ó¦¡¢ºË·ÖÁÑ¡¢È¾É«Ìå·ÖÀëºÍGTPase»îÐÔÖУ»KEGG·ÖÎö±íÃ÷GCA+ÃâÒßϸ°ûÖÐÉϵ÷µÄ»ùÒò¸»¼¯ÔÚϸ°ûÖÜÆÚ¡¢µòÍö¡¢p53ÐźÅͨ·¡¢Ï¸°ûË¥ÀÏ¡¢IL-17ÐźÅͨ·ºÍFoxOÐźÅͨ·ÖУ¬ÕâЩÐźÅͨ·ÔÚÑ×Ö¢¡¢Ë¥ÀϺÍÖ×Áö·¢ÉúÖÐÆð¹Ø¼ü×÷Óá£


/ÄÚ¶¾ËØÔÚË¥ÀϹý³ÌÖÐÓÕµ¼¹ÇËè¾ÞÊÉϸ°û»î»¯²¢Çý¶¯GCA±í´ï

 ½øÒ»²½Ñо¿Ë¥ÀϹý³ÌÖÐÊÇʲôÇýʹÃâÒßϸ°ûÖÐGCAµÄ±í´ï¡£scRNA-seqÊý¾ÝǰÆÚ·¢ÏÖGCAÔÚÖÐÐÔÁ£ºÍ¹ÇËè¾ÞÊÉϸ°ûÖк¬Á¿ºÜ¸ß£¬ÆÆ¹Çǰϸ°û¡¢ÆÆ¹Çϸ°ûÖк¬Á¿½ÏµÍ£¬ÓÉÓÚGCA+ÖÐÐÔÁ£Ï¸°û¸Ä±äµÄ;¾¶½ÏÉÙ£¬Ö»ÓÐÒ»Ìõ²ÎÓëÁËÑ×Ö¢·´Ó¦£¬Òò´Ë¶ÔÄêÇáºÍÀÏÄê´óÊó¼äÊýÁ¿ºÍ±ÈÀý²îÒì×î´óGCA+¾ÞÊÉϸ°û½øÐÐÏÂÒ»²½Ñо¿£¬¶ÔscRNA-seqÊý¾Ý¿âÖоÞÊÉϸ°ûϸ·Ö£¬·¢ÏÖ18¸öÑÇȺ¡£µÚ7¡¢12ºÍ14´ØÔÚÀÏÄê´óÊóÖк¬ÓÐ×î¶àµÄ(¹ÇËè¾ÞÊÉϸ°û)BMMs£»Æä°üº¬ÀÏÄê´óÊóµÄ´ó²¿·ÖGCA+BMMS£¬²¢·ÖÎöµÚ7¡¢12ºÍ14´ØÖÐǰ20¸ö²îÒì±í´ï»ùÒò£»µÚ7´Ø¸ß±í´ïÑ×Ö¢Ïà¹Ø»ùÒò(ÀýCxcl2¡¢CD14¡¢Lilrb3aµÈ)£¬µÚ12´Ø¸ß±í´ïË¥ÀÏÏà¹Ø»ùÒò(ÀýCDKN1A¡¢RRM1¡¢Smc2µÈ)£¬µÚ14´Ø¸ß±í´ï°©»ùÒò(ÀýPececn1a¡¢RRM1¡¢Smc2µÈ)¡£ËµÃ÷ÀÏÄê´óÊóµÄ¹ÇËè·Ö±ðº¬ÓдÙÑס¢Ë¥ÀϺÍÖ×Áö·¢ÉúÏà¹ØµÄ¹ÇËè¾ÞÊÉϸ°û¡£ÓÉÓÚË¥ÀÏÊÇÒ»ÖÖµäÐ͵ÄÂýÐÔÑ×֢״̬£¬ÉÏÊö½á¹û±íÃ÷GCA+ÃâÒßϸ°ûÊÇÒ»ÖÖ´ÙÑ×ÑÇÐÍ£¬Ñо¿Ñ×Ö¢ÊÇ·ñÄÜÓÕµ¼BMMSÖÐGCAµÄ±í´ï¡£ÀûÓÃLPS´Ì¼¤3ÔÂÁäÊóµÄ¹ÇËè»ùÖÊϸ°ûʵÑé·¢ÏÖLPS´¦ÀíµÄ¹ÇËè»ùÖÊϸ°ûGCA±í´ï½Ï¸ß£»18ÔÂÁäСÊóѪÇåºÍ¹ÇËèÉÏÇåÒºÖеÄÄÚ¶¾ËØË®Æ½¸ü¸ß¡£



ͼ2.Ë¥ÀϹý³ÌµÄ¹ÇËè»ýÀÛ´ÙÑ׺ÍË¥ÀϵÄÃâÒßϸ°û²¢·ÖÃÚGCA


ͼ3. ¹ÇËèÖÐGCA+ÃâÒßϸ°ûȺµÄÉúÐÅ·ÖÎö


½ÓÏÂÀ´Í¨¹ýÖÐÐÔÁ£Ï¸°ûºÍ¾ÞÊÉϸ°ûGCAÇóýµÄСÊóʵÑéÑо¿£¬·¢ÏÖʵÑé×éÖбíÏÖ³öÑӳٵĹÇË¥ÀÏ¡£ÉÏÊöÑо¿±íÃ÷GCA¶Ô³É¹Ç¡¢³ÉÖ¬ºÍÆÆ¹Çϸ°ûÉú³ÉÓÐÓ°Ïì¡£ÎÒÃÇÀûÓò»Í¬¼ÁÁ¿µÄRGCAÓÕµ¼BMSCs·Ö»¯Îª³É¹Ç»òÖ¬·¾Ï¸°ûµÈʵÑé¼°RNA-seq·ÖÎöÖ¤Ã÷ÁËGCAÔÚ´Ù½øÖ¬·¾Éú³ÉµÄͬʱÒÖÖÆ³É¹ÇºÍÆÆ¹Çϸ°ûÉú³É¡£

ΪÁË´Ó¹ÇËè¼ä³äÖʸÉϸ°ûÖÐɸѡDZÔÚµÄGCAÊÜÌ壬¶ÔHis±ê¼ÇµÄGCA·õÓýµÄBMSCs½øÐÐÒºÏàÉ«Æ×-ÖÊÆ×(LC-MS/MS)·ÖÎö¡£¶Ô5¸öºòÑ¡µ°°×Iqgap1¡¢Itga11¡¢plexin-B2(Plxnb2)¡¢Ehd1¡¢Lrp1½øÒ»²½·ÖÎö£¬½áºÏRNA-seqÊý¾Ý½«¾Û½¹µã¼¯ÖÐPlxnb2ÉÏ£¬½ÓÏÂÀ´ÀûÓÃһϵÁеÄwestern blottingʵÑé¡¢siRNA¸ÉÈÅʵÑé¡¢¶¨Á¿Á×Ëáµ°°×ÖÊ×éºÍÖÊÆ×·ÖÎöµÈ½ÒʾPlxnb2ÊÇGCAµÄ¹¦ÄÜÐÔÊÜÌ壬½éµ¼GCAÒÖÖÆ³É¹ÇºÍ´Ù½øÖ¬·¾Éú³É£»RGCAÖ»²¿·Öʧ»îPlxnb2ͨ·£¬ÈçFAK(Tyr925)¼°ÆäÏÂÓÎͨ·YAPºÍTAZµÄÁ×Ëữ£»Ïµ÷Plxnb2¿ÉÔöÇ¿JAK1/3ºÍSTAT1µÄÁ×Ëữ¡£

×îºóͨ¹ýÌåÍâϸ°ûʵÑéÓëСÊóÄ£ÐÍÌåÄÚʵÑé±íÃ÷GCA-NAbÄÜÏÔÖø¸ÄÉÆÐ¡Êó¹ÇË¥ÀϱíÐÍ¡£


×Ü  ½á

±¾´ÎÑо¿·¢ÏÖÃâÒßµ÷½Ú¹ÇË¥ÀϵÄϸ°ûÑÇȺ¼°·Ö×Ó»úÖÆ£¬Ìá³öÁËÃâÒßµ÷¿Ø¹ÇË¥ÀÏÐÂÀíÂÛ£¬²¢É¸Ñ¡³öÕë¶Ô¹Ø¼üÃâÒßµ°°×·Ö×ÓµÄÖкͿ¹Ì壬Ϊ¹ÇÖÊÊèËɵÈÄêÁäÏà¹ØµÄ¼²²¡ÒÔ¼°Ö×Áö·¢Éú¡¢´úлÎÉÂÒºÍ×éÖ¯ÔÙÉúÌṩһÖÖеÄDZÔÚÖÎÁƲßÂÔ¡£

Ëï·½Õé
ÖøÃû·Ö×ÓÅß̥ѧ¼Ò£¬ÖпÆÔº×¨¼Ò¡£±ÏÒµÓÚÓ¢¹ú½£ÇÅ´óѧ£¬²©Ê¿¡£ ... [Ïêϸ]
Â޸ǽÌÊÚ
Â޸ǽÌÊÚ׿¼®¹ã¶«£¬Â󼪶û´óѧÓÅÐãѧʿ¡¢¶àÂ×¶à´óѧ¿ÆÑ§²©Ê¿¡¢Âó¿ËÂíË¹ÌØ´óѧ²©Ê¿ºó... [Ïêϸ]
ÍõÅร
ÍõÅร£¬Ò½Ñ§²©Ê¿£¬¸±Ö÷ÈÎҽʦ¡£ ±ÏÒµÓÚ½â·Å¾ü×ÜÒ½Ôº¾üÒ½½øÐÞѧԺ£¬¶ÔÉñ¾­ÏµÍ³¼²... [Ïêϸ]
Âí·
Âí·£¬Ö÷ÈÎҽʦ£¬Ò½Ñ§Ë¶Ê¿¡£ÏÖÈÎÈ«¾üÉöÔಡרҵίԱ»áίԱ¡¢±±¾©¾üÇøÉöÔಡרҵίԱ»á... [Ïêϸ]
ËÕÁ¬¿ü
ËÕÁ¬¿ü£¬Öй²µ³Ô±£¬¸±Ö÷ÈÎҽʦ¡£ 2005Ä꽫¸Éϸ°ûÖÎÁÆÓ¦ÓÃÓÚÁÙ´²,¿ªÕ¹×Ô... [Ïêϸ]
ÕÔ´º»ª
ÕÔ´º»ª¸öÈ˼ò½é£ºÄУ¬1963ÄêÉú£¬É½¶«ÇൺÈË£¬Ò½Ñ§²©Ê¿£¬½ÌÊÚ£¬²©Ê¿Éúµ¼Ê¦... [Ïêϸ]
ÑîÏþ·ï
ÑîÏþ·ï£¬Å®£¬Ö÷ÈÎҽʦ£¬Ë¶Ê¿Ñо¿Éúµ¼Ê¦¡£ ÏÖÈÎÖлªÒ½Ñ§»áÒ½... [Ïêϸ]
ÍøÕ¾Ê×Ò³ | ¹ØÓÚÎÒÃÇ | ÉèΪÊ×Ò³ | Êղر¾Õ¾ | ¹ÜÀíÔ±Èë¿Ú
ÇØ»Êµº¼ªÌ©ÉúÎï¿Æ¼¼Ñо¿Ëù
Óʱࣺ066100 ±¸°¸ºÅ£º¼½ICP±¸2023042823ºÅ-2  ¼½¹«Íø°²±¸13030502000431ºÅ
µç»°£º0335-3366669 ´«Õ棺0335-3366669 E_mail£ºqhdjtsw@163.com ÄúÊDZ¾Õ¾µÚ 2759141 λ·Ã¿Í