ÄúÏÖÔÚËùÔÚλÖãºÊ×Ò³ > ÐÂÎÅ×¨Çø
ÐÂÎÅ×¨Çø

ÊÀ½çÊ×Àý£¡¸Éϸ°ûÖúÁ¦ÉöÒÆÖ²»ñ³É¹¦£¬ÃâÒßÄÍÊܳ¤´ï18¸öÔ£¡

À´Ô´£º ÈÕÆÚ£º2021-05-21


ÖÚËùÖÜÖª£¬Æ÷¹ÙÒÆÖ²ºó£¬ÃæÁÙ×î´óµÄ·çÏÕ¾ÍÊÇÅÅÒì·´Ó¦¡£×ÔÃâÒßÒÖÖÆ¼ÁÒ©ÎïÃæÊÀÒԺ󣬳¤¾ÃÒÔÀ´½ÓÊÜÆ÷¹ÙÒÆÖ²µÄ²¡È˶¼ÐèÒª³¤ÆÚ·þÓÃÃâÒßÒÖÖÆÒ©ÎïÒÔ¶Ô¿¹ÒÆÖ²ºóµÄÅÅÒì·´Ó¦¡£


ÁîÈ˵£ÓǵÄÊÇ£¬ÃâÒßÒÖÖÆÒ©Îï¾ßÓм«´óµÄ¸±×÷Ó㬻á´ó·ùÔö¼Ó»¼Õ߸ÐȾ¡¢¶ñÐÔÖ×Áö¡¢ÐÄѪ¹ÜºÍ´úл²¢·¢Ö¢µÄ·çÏÕ¡£Èç¹ûÓÕµ¼²úÉú¹©ÌåÌØÒìÐÔÃâÒßÄÍÊÜ£¬¾ÍÄܿ˷þÕâ¸öÎÊÌ⣬Ҳ¿ÉÒÔ¼õÉÙÃâÒßÒÖÖÆ¼ÁµÄʹÓá£


½üÈÕ£¬¾Ý¡¶Stem Cells Translational Medicine¡·ÔÓÖ¾±¨µÀ£¬Ò»Àý»îÌåÉöÔàÒÆÖ²ÊÜÕßÓüä³äÖʸÉϸ°ûÊä×¢ÓÕµ¼ÃâÒßÄÍÊÜ»ñµÃ³É¹¦µÄ°¸Àý¡£ÔÚûÓÐʹÓÃÃâÒßÒÖÖÆ¼ÁµÄÇé¿öÏ£¬¿ÉÍêÈ«ÄÍÊÜÐÂÆ÷¹Ù18¸öÔ¡£

01.ÊÀ½çÊ×ÀýÆ÷¹ÙÒÆÖ²ÃâÒßÄÍÊÜÓÕµ¼³É¹¦


²»¾Ãǰ£¬À´×ÔÒâ´óÀûµÄÑо¿Õß±¨µÀÁËÒ»Àý»îÌåÉöÔàÒÆÖ²ÊÜÕßÓÃ×ÔÌå¹ÇËè¼ä³äÖʸÉϸ°û£¨BMSCs£©Êä×¢ÓÕµ¼ÃâÒßÄÍÊÜ»ñµÃ³É¹¦µÄ°¸Àý¡£½ØÖ¹µ½Ñо¿ÈËÔ±ÔÚ Stem Cells Translational Medicine ÔÓÖ¾·¢±íÂÛÎÄʱ£¬»¼ÕßÒѾ­18 ¸öÔÂûÓнÓÊÜÃâÒßÒÖÖÆÒ©ÎïÖÎÁÆ¡£


Ñо¿ÈËÔ±±íʾ£¬±¾²¡ÀýÌṩÁËеÄÖ¤¾Ý£¬Ö¤Ã÷ÔÚ»îÌåÉöÒÆÖ²ÖУ¬×ÔÌå¹ÇËè¼ä³äÖʸÉϸ°ûÊä×¢¿ÉÔÚÒÆÖ²ºó°²È«¡¢ÍêȫͣÓÃά³ÖÐÔ¿¹ÅųâÒ©Î×îÖÕ´ïµ½ÃâÒßÄÍÊÜ״̬¡£


ÊÂÇéÊÇÕâÑùµÄ£ºÔÚ2010Äê10Ô£¬Ò»Î»»¼ÓÐÖÕÄ©ÆÚÉö²¡µÄ 37 ËêÄÐÐÔ£¬½ÓÊÜÁË»îÌåÉöÒÆÖ²£¬Í¬Ê±²ÎÓëÁËÒ»Ïî¾­ÌåÍâÀ©ÔöµÄ×ÔÌåBMSCsÒÆÖ²Ç°Êä×¢µÄ°²È«ÐԺͿÉÐÐÐÔÊÔÑéÑо¿¡£ÔÚÆ÷¹ÙÒÆÖ²Ç°Ò»Ì죬»¼Õß½øÐÐÁË×ÔÌåBMSCs Êä×¢£¬²¢ÔÚÆ÷¹ÙÒÆÖ²ºóµÄÁùÌìÄÚ£¬Ã¿Ìì¾²Âö½ÓÊܵͼÁÁ¿µÄÍÿ¹ÈËÐØÏÙϸ°ûÃâÒßÇòµ°°×Êä×¢ÖÎÁÆ¡£


»¼Õß¾­Æ÷¹ÙÒÆÖ²Ç°»ØÊäBMSCs£¬Ö®ºóÉö¹¦ÄÜѸËÙ»Ö¸´£¬ÇÒÔÚÒÆÖ²ºó 2 ÄêÄÚ¹¦ÄÜÎȶ¨¡£Í¬Ê±ÑªÒº¼ì²â½á¹ûÏÔʾ£¬»¼Õß¶Ô¹©ÌåÉöÔà²úÉúÁËÄÍÊÜÐÔ¡£»¼ÕßËù·þÓõÄÃâÒßÒÖÖÆ¼ÁÖð½¥¼õÉÙ£¬Ö±µ½Íêȫֹͣ·þÓ᣽ØÖ¹±¨µÀʱ£¬»¼ÕßÒѾ­ 18 ¸öÔÂûÓÐʹÓÃÃâÒßÒÖÖÆ¼Á£¬ÇÒÒÆÖ²ºóµÄÉöÔ๦ÄÜÕý³£¡£


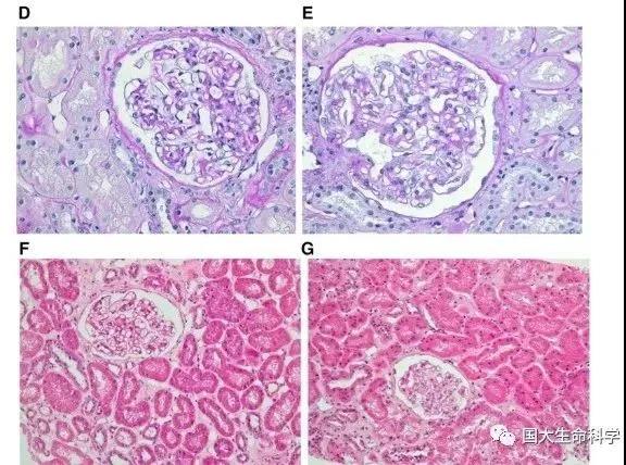
¡ø»¼ÕßÒÆÖ²ºó1Ä꣨D£¬F£©ºÍ8Ä꣨E£¬G£©Éö»î¼ìÏÔʾ»¼Õß¾ßÓÐÃâÒßÄÍÊÜ״̬


Ñо¿ÈËÔ±ÈÏΪ£¬±¾°¸Àý³É¹¦ÕæÕý¹éÒòÓÚÒÆÖ²Ç°¸Éϸ°ûÊä×¢ËùÓÕµ¼³ö³ÖÐø´ÙÄÍÊÜÐÔ»·¾³¡£



02.¸Éϸ°ûÓëÃâÒßÒÖÖÆ


¸Éϸ°ûÊÇÒ»ÖÖ´æÔÚÓÚ¶àÖÖ×éÖ¯ÖУ¬¾ßÓÐ×ÔÎÒ¸´ÖÆÄÜÁ¦ºÍ¶àÏò·Ö»¯Ç±Á¦µÄϸ°û¡£20ÊÀ¼Í70Äê´ú£¬¿ÆÑ§¼Òͨ¹ýÌù±Ú·ÖÀëÅàÑøµÄ·½·¨£¬´Ó¹ÇËèÖзÖÀë³öÒ»ÖÖ³ÉÏËάϸ°ûÑùµÄϸ°û£¬¾ßÓзֻ¯Îª³É¹Çϸ°ûµÄϸ°û¼¯Â䣬¶øÇÒÖ§³ÖÔìѪ¿Ë¡µÄÐγɡ£ËæºóÕâÀà¸Éϸ°û±»ÃüÃûΪ¡°¹ÇËè»ùÖÊ/¸Éϸ°û¡±£¨¼´MSCs£©¡£



2002 Ä꣬Di Nicola M ºÍ Bartholomew µÈÈË·¢ÏÖ¸Éϸ°û¾ßÓÐÇ¿´óµÄÃâÒßÒÖÖÆÄÜÁ¦£¬¾ßÓеÍÃâÒßÔ­ÐÔ£¬ºÜÄÑÒýÆðÃâÒßÅųⷴӦ¡£


¡ø¸Éϸ°ûÔÚͬÖÖÃâÒß·´Ó¦ÖеÄÃâÒßµ÷½Ú×÷ÓÃ


¸Éϸ°ûµÄÃâÒßµ÷½ÚÌØÐÔ£¬·Ç³£ÓÐÀûÓÚÓÃÓÚÖÎÁÆÃâÒßÐÔ¼²²¡£¬°üÀ¨ÒÆÖ²ÅųⷴӦºÍ×ÔÉíÃâÒßÐÔ¼²²¡¡£¸Éϸ°û¿ÉÒÔͨ¹ýÒÖÖÆÁܰÍϸ°ûµÄÔöÖ³¡¢ÒÖÖÆ¿¹Ô­³ÊµÝϸ°û·Ö»¯³ÉÊì¼°¹¦ÄÜ·¢»Ó¡¢ÒÖÖÆCTLÐγɡ¢Ôö¼Óµ÷½ÚÐÔTϸ°û±ÈÀýµÈ¶àÖÖ;¾¶·¢»ÓÃâÒßµ÷½Ú×÷Óá£


½üÄêÀ´£¬ÔÚÔÙÉúҽѧÁìÓò£¬¸Éϸ°ûÖð½¥³ÉΪµÖ¿¹ÃâÒßÅų⡢ÓÕµ¼ÃâÒßÄÍÊÜ¡¢³¤ÆÚά³ÖÒÆÖ²Æ÷¹ÙµÄÀíÏëϸ°û£¬²¢È¡µÃÐí¶àÁîÈËÐ˷ܵĽá¹û¡£


03.×Ü ½á


Æ÷¹ÙÒÆÖ²Ç°Êä×¢¸Éϸ°û£¬ÊÇÓÐÍû¿Ë·þÃâÒßÅųâµÄ×îз½·¨Ö®Ò»¡£¶¯ÎïʵÑé֤ʵ£¬ÒÆÖ²Ç°£¬½øÐиÉϸ°ûÊä×¢£¬Ëƺõ¿ÉÒÔͨ¹ýÒ»ÖÖ¡°½ÌÓý¡±µÄ·½Ê½À´ÒÖÖÆÊÜÌå¶Ô¹©ÌåÆ÷¹ÙµÄÃâÒßÅų⡣


δÀ´£¬Õë¶ÔÆ÷¹ÙÒÆÖ²ÅųⷴӦ·¢Éú»úÖÆµÄ²»¶Ï̽Ë÷£¬ÏàÐÅÒÆÖ²¼ä³äÖʸÉϸ°ûÖÎÁÆÒìÌåÆ÷¹ÙÒÆÖ²µÄÅÅÒì·´Ó¦ÖÕ½«×ßÏò³ÉÊì¡£

Ëï·½Õé
ÖøÃû·Ö×ÓÅß̥ѧ¼Ò£¬ÖпÆÔº×¨¼Ò¡£±ÏÒµÓÚÓ¢¹ú½£ÇÅ´óѧ£¬²©Ê¿¡£ ... [Ïêϸ]
Â޸ǽÌÊÚ
Â޸ǽÌÊÚ׿¼®¹ã¶«£¬Â󼪶û´óѧÓÅÐãѧʿ¡¢¶àÂ×¶à´óѧ¿ÆÑ§²©Ê¿¡¢Âó¿ËÂíË¹ÌØ´óѧ²©Ê¿ºó... [Ïêϸ]
ÍõÅร
ÍõÅร£¬Ò½Ñ§²©Ê¿£¬¸±Ö÷ÈÎҽʦ¡£ ±ÏÒµÓÚ½â·Å¾ü×ÜÒ½Ôº¾üÒ½½øÐÞѧԺ£¬¶ÔÉñ¾­ÏµÍ³¼²... [Ïêϸ]
Âí·
Âí·£¬Ö÷ÈÎҽʦ£¬Ò½Ñ§Ë¶Ê¿¡£ÏÖÈÎÈ«¾üÉöÔಡרҵίԱ»áίԱ¡¢±±¾©¾üÇøÉöÔಡרҵίԱ»á... [Ïêϸ]
ËÕÁ¬¿ü
ËÕÁ¬¿ü£¬Öй²µ³Ô±£¬¸±Ö÷ÈÎҽʦ¡£ 2005Ä꽫¸Éϸ°ûÖÎÁÆÓ¦ÓÃÓÚÁÙ´²,¿ªÕ¹×Ô... [Ïêϸ]
ÕÔ´º»ª
ÕÔ´º»ª¸öÈ˼ò½é£ºÄУ¬1963ÄêÉú£¬É½¶«ÇൺÈË£¬Ò½Ñ§²©Ê¿£¬½ÌÊÚ£¬²©Ê¿Éúµ¼Ê¦... [Ïêϸ]
ÑîÏþ·ï
ÑîÏþ·ï£¬Å®£¬Ö÷ÈÎҽʦ£¬Ë¶Ê¿Ñо¿Éúµ¼Ê¦¡£ ÏÖÈÎÖлªÒ½Ñ§»áÒ½... [Ïêϸ]
ÍøÕ¾Ê×Ò³ | ¹ØÓÚÎÒÃÇ | ÉèΪÊ×Ò³ | Êղر¾Õ¾ | ¹ÜÀíÔ±Èë¿Ú
ÇØ»Êµº¼ªÌ©ÉúÎï¿Æ¼¼Ñо¿Ëù
Óʱࣺ066100 ±¸°¸ºÅ£º¼½ICP±¸2023042823ºÅ-2  ¼½¹«Íø°²±¸13030502000431ºÅ
µç»°£º0335-3366669 ´«Õ棺0335-3366669 E_mail£ºqhdjtsw@163.com ÄúÊDZ¾Õ¾µÚ 2759672 λ·Ã¿Í